Pneumatosis intestinalis
Other namesIntestinal pneumatosis
Close-up of intestine of infant showing necrosis and pneumatosis intestinalis (autopsy)
Differential diagnosisnecrotizing enterocolitis

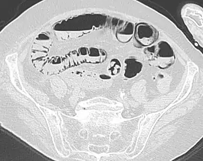
Pneumatosis intestinalis (also called intestinal pneumatosis, pneumatosis cystoides intestinalis, pneumatosis coli, or intramural bowel gas) is pneumatosis of an intestine, that is, gas cysts in the bowel wall.[1][2] As a radiological sign it is highly suggestive for necrotizing enterocolitis. This is in contrast to gas in the intestinal lumen (which is relieved by flatulence). In newborns, pneumatosis intestinalis is considered diagnostic for necrotizing enterocolitis, and the gas is produced by bacteria in the bowel wall.[3] The pathogenesis of pneumatosis intestinalis is poorly understood and is likely multifactorial. PI itself is not a disease, but rather a clinical sign. In some cases, PI is an incidental finding, whereas in others, it portends a life-threatening intra-abdominal condition.

Additional images

References

  1. Braumann C, Menenakos C, Jacobi CA (2005). "Pneumatosis intestinalis--a pitfall for surgeons?". Scandinavian Journal of Surgery. 94 (1): 47–50. doi:10.1177/145749690509400112. PMID 15865117.
  2. Jones, Jeremy. "Intramural bowel gas | Radiology Reference Article | Radiopaedia.org". Radiopaedia.
  3. Tao Le; Vikas Bhushan; Nathan Skelley (2012-03-12). First aid for the USMLE step 2 CK (8th ed.). New York: McGraw-Hill Medical. pp. 369–370. ISBN 9780071761376.


This article is issued from Wikipedia. The text is licensed under Creative Commons - Attribution - Sharealike. Additional terms may apply for the media files.